
SU CORAZÓN EN BUENAS MANOS

Cateterismo Cardíaco
Diferentes tipos de Procedimientos



Programe en línea, es rápido, fácil y seguro
Cateterismo cardiaco
Consiste en dos pasos:
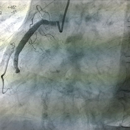
Paso 1.- diagnóstico: en el cual se introduce una guía metálica junto uno o varios catéteres (tubillos de material suave parecido al plástico) muy delgadas (de tamaño aproximado 2-3 milímetros de grosor) a través de las arterias del brazo o de la pierna, hasta el corazón, pintar las arterias del corazón con un medio de contraste especial y a través de "rayos x" visualizar las arterias del corazón, las cuales reciben el nombre de "coronarias" (por su disposición en el corazón en forma de una corona)con esto podemos observar si alguna arteria del corazón está obstruida , por algún coágulo de sangre o por alguna placa de colesterol, lo cual impide que la circulación de la sangre llegue de manera adecuada hasta las células del Corazón, provocando la famosa "angina de pecho" que es el síntoma que precede a un infarto o de manera coloquial una amenaza de infarto del corazón, conocido también como ataque cardiaco, también en los infartos ya establecidos logramos visualizar la o las arterias que se ocluyeron, de esta forma y haciendo un análisis estratégico previo, podremos proseguir al siguiente proceso
Paso 2.- angioplastia coronaria: consiste en introducir a través de las arterias del brazo o de la pierna catéteres suaves y delgados (2-3 mm) así como guías metálicas tan delgadas como un cabello, con las cuales se llega hasta la obstrucción de las arterias del corazón se atraviesan de manera muy delicada y cuidadosa, si se logra, se avanza un globo de material especial desinflado y a nivel de la obstrucción de las arterias coronarias se infla a diferentes presiones hasta lograr compactar el coágulo o placa de colesterol alrededor de las paredes de la arteria afectada liberando de esta forma la circulación con lo mejora del flujo de sangre hasta las células del corazón, mejorando su funcionamiento y evitando un infarto en los pacientes en los que se evidencia a través de algún estudio isquemia miocárdica (que significa sufrimiento del tejido del corazón por disminución en el aporte del flujo sanguíneo, oxígeno y otros nutrientes de la sangre o que el aumento de la necesidad de este flujo sanguíneo, ejemplo ejercicio o estrés emocional, empeore el sufrimiento de las células del músculo cardíaco) actualmente además de destapar literalmente las arterias con este globo se implanta un dispositivo llamado stent el cual es una malla metálica que se impacta por dentro de las arterias a nivel de la obstrucción por placas de colesterol o coágulos de sangre, impidiendo que la arteria se vuelva a cerrar durante varios años este dispositivo se creó especialmente para permanecer dentro de las arterias durante toda la vida del individuo, mejorando el pronóstico de vida y la calidad de vida del paciente
También en aquellos pacientes en los que está sufriendo un infarto ya documentado la realización de una angioplastia coronaría primaria o muy temprana ha demostrado mejorar los desenlaces de esta enfermedad aguda y mortal, es decir mejora el pronóstico de vida ya que aún que se ha demostrado que abriendo las arterias obstruidas del corazón que provocan el infarto durante las primeras horas del inicio de los síntomas ( idealmente las primeras 2 horas y hasta 24 horas después) se han logrado mejorar el pronóstico de vida y la calidad de vida de los pacientes, disminuyendo el daño que se produce en el corazón y la posibilidad posterior de arritmias o falla de la función del corazón
También se ha demostrada que en los pacientes que han sufrido un infarto recientemente, si se demuestra aún la viabilidad (vida) de las células del músculo cardíaco a través de estudios especiales ( PET, gammagrama cardiaco, eco estrés dobutamina o eco estrés dipiridamol entre otros) o incluso isquemia residual es decir que el tejido se encuentre aun sufriendo se puede realizar la angioplastia coronaria rescatando gran parte del tejido cardiaco que se encuentra aún vivo y sufriendo, mejorando la calidad de vida y la sobrevida del paciente
Cabe agregar que este tipo de procedimientos son de mínima invasión bajo tecnología de punta y con un mínimo de complicaciones a diferencia de lo que se hacía en tiempos pasados como era la cirugía de corazón abierto para revascularización cardiaca.
Debido a los elevados costos del material que se requiere para realizar el cateterismo cardiaco contamos con un plan de facilidades de pago para apoyar a los pacientes de bajos recursos con el fin de ayudarlos a mejorar su salud en la medida de lo posible
Congénitos:
También contamos con un equipo especial para detección corrección de algunas malformaciones congénitas cardiacas a través de procedimientos de mínima invasión como cateterismo cardiaco.
Incluso algunas enfermedades de las piernas como son la obstrucción de las arterias de las piernas se pueden mejorar destapando las mismas, salvando al paciente de la inevitable amputación de alguna extremidad.
Trombo embolia pulmonar:
También con un equipo especializado para la detección y corrección de tromboembolismo pulmonar (que consiste en la migración de un coágulo de sangre que puede obstruir una arteria de los pulmones) causando deterioro masivo de la función pulmonar, e incluso la muerte.
Es una enfermedad en la cual hay migración de un coágulo de sangre habitualmente de las piernas o en ocasiones del corazón hasta los vasos de los pulmones, poniendo en riesgo latente la vida del paciente, contamos con tecnología para el diagnóstico y el tratamiento de esta patología a través de la aspiración del coágulo mediante cateterismo es decir intervención de mínima invasión ya descrito antes, así como angioplastia de los vasos pulmonares de ser necesario, mejorando la sobrevida y el pronóstico del paciente.
Derrame pericardico masivo o tamponase cardiaco:
Es aquella enfermedad que consiste en la colección de líquido dentro del saco de tenido que cubre al corazón llamado pericardio, por diferentes enfermedades como infecciones, falla de los riñones y otros órganos, tumores entre otros, lo cual impide que el corazón se distienda de manera adecuada poniendo en riesgo inminente la vida del paciente, contamos con los medios tecnológicos para el diagnóstico y tratamiento de esta enfermedad a través de procedimientos de mínima invasión ( perocardiocentesis guiada por ecocardiograma ) que consiste en drenaje del líquido pericárdico a través de un punción por debajo de las costillas hacia el corazón bajo anestesia y colocación de un catéter especial para drenaje del líquido pericárdico con lo que se libera el corazón y late libremente además de que se manda el líquido a estudiar para dar un tratamiento especializado dirigido a que este líquido no se vuelva a formar.
Actualmente hay una intervención llamada denervación de las arterias renales:
La cual consiste en introducir un catéter especial a las arterias renales y a través de radiofrecuencia, bajo anestesia general, inactivando los nervios que se encargan de parte del Mecanismo por el cual se sufre de hipertensión arterial, este procedimiento solo está indicado en la hipertensión arterial refractaria a tratamiento es decir aquellos pacientes que toman tres o más fármacos a dosis tope y que a pesar de ello permanecen con presiones por arriba de 150/90 mmhg o diabéticos con las mismas características que persisten con presiones por arriba de 140/90 mmhg.






